Qualitativ hochwertige Röntgenbilder sind besonders wichtig für eine zuverlässige medizinische Behandlung. Künstliche Intelligenz kann wesentlich dazu beitragen, die Qualität der Röntgendiagnostik zu verbessern. Der KI-gestützte Notfalldiagnostik-Assistent des BMWK-Förderprojekts KI-SIGS zeigt, wie das geht.
Allein in Deutschland werden im Jahr ca. 150 Millionen Röntgenbilder aufgenommen, viele von diesen unter Zeitdruck und von nicht immer erfahrenem Personal, was auf Kosten der diagnostischen Qualität geht
Ärztinnen und Ärzte müssen oft in kürzester Zeit Entscheidungen treffen, die über die Behandlung von Patientinnen und Patienten entscheiden. Die datenbasierte Auswertung von Informationen unterstützt sie bei der Auswahl geeigneter Behandlungsmethoden. Röntgenaufnahmen können hierbei als Grundlage dienen. Allein in Deutschland werden pro Jahr etwa 130 Millionen Bilder aufgenommen, was die Röntgendiagnostik zum am häufigsten eingesetzten bildgebenden Verfahren macht, darunter etwa 14 Millionen Computertomografien (CTs). In der Notaufnahme und auf der Intensivstation werden Röntgenaufnahmen und CTs häufig eingesetzt, da sie in wenigen Sekunden ein aussagekräftiges Bild erstellen können – die CT punktet zudem durch eine Erfassung der 3-D Information.
Gerade bei Notfällen und in Gefahrensituationen arbeitet das Personal unter Zeitdruck und Stress. Wichtig ist es, frühzeitig zu erkennen, welche Patienten und Patientinnen besonders schneller Hilfe bedürfen, insbesondere wenn es sich um lebensbedrohliche Zustände handelt. Somit müssen Röntgenaufnahmen zeitnah angesehen und befundet werden; bei CTs müssen überdies viele Schichtaufnahmen durchgeschaut werden – eine komplexe Aufgabe mit hohem Zeitaufwand, bei der nichts übersehen werden darf. Anderenfalls kann die Gesundheit des Patienten oder der Patientin gefährdet werden. Auf der Basis der Diagnostik muss dann zügig die bestmögliche Auswahl und Priorisierung der Behandlungen erfolgen – Entscheidungen unter großem Druck für das ohnehin oft unterbesetzte medizinische Personal.
Innovative Technologien wie Verfahren aus dem Bereich der Künstlichen Intelligenz (KI) können dabei helfen, die benötigten kritischen Informationen automatisch und zügig zu liefern. Diesen Ansatz verfolgt das Teilprojekt AP 340 „KI für radiologische Bildgebung in der Notfall- und Intensivmedizin“ des Förderprojekts KI-SIGS, das im Rahmen des KI-Innovationswettbewerbs des Bundesministeriums für Wirtschaft und Klimaschutz (BMWK) gefördert wird. Das Vorhaben, bei dem eine digitale Plattform für die Entwicklung von KI-Anwendungen im medizinischen Bereich entsteht, erarbeitet in einem Anwendungsfall einen KI-gestützten Notfalldiagnostik-Assistenten. Involviert in den Use Case sind die folgenden KI-SIGS-Verbundpartner: die Sektion Biomedizinische Bildgebung (Koordinator) und die Klinik für Radiologie und Neuroradiologie des Universitätsklinikums Schleswig Holstein (UKSH), Campus Kiel; das Institut für Medizinische Informatik der Universität zu Lübeck und die Klinik für Radiologie und Nuklearmedizin des UKSH, Campus Lübeck; die Sektion für experimentelle biomedizinische Bildgebung des Universitätsklinikums Hamburg, die Fakultät Informatik der Ostfalia - Hochschule für angewandte Wissenschaften, Wolfenbüttel sowie die Unternehmen Philips, Hamburg und mbits, Heidelberg.
Optimale Röntgenaufnahmen und automatisierte Bilderkennung
Grundlage für die Entwicklung des KI-Notfalldiagnostik-Assistenten sind CT- oder Röntgenaufnahmen, die von spezialisierten Radiologinnen und Radiologen interpretiert und kategorisiert wurden. Anhand der Aufnahmen lernt die KI-Anwendung, im Bild wiederkehrende Muster und Gesetzmäßigkeiten zu erkennen und zu klassifizieren. Hat der KI-Assistent das erst einmal an Hunderten von Beispielfällen gelernt, so kann er das Gelernte auf neue Patientendaten anwenden. Damit kann er dann automatisch, schnell und ohne Ermüdungserscheinungen dem verantwortlichen Arzt wichtige Diagnosehinweise liefern. Die trainierte KI-Anwendung kann somit helfen, dass auch in hektischen Situationen nichts übersehen wird – eine Funktion, die besonders die Notfall- und Intensivmedizin unterstützen soll.
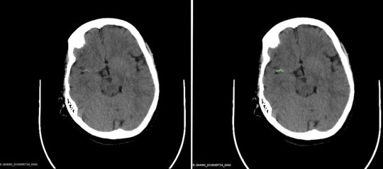
Abb. 1: Schädel-CT, links originale Schicht, rechts dieselbe Schicht, auf der der KI-Assistent den Thrombus erkannt und richtig umrandet hat. Diese Segmentierung erfolgt automatisch über mehrere aneinander grenzende Schichten, und zu jeder werden Kenngrößen zu Größe und Grauwertverteilung ermittelt
Der KI-Notfalldiagnostik-Assistent wird zunächst in drei Anwendungsbereichen trainiert: Schlaganfälle, Knochenverletzungen und Brustkorbuntersuchungen. Auf allen drei Gebieten geht es hauptsächlich darum, Probleme frühzeitig zu erkennen, die einer möglichst schnellen Behandlung bedürfen, zum Beispiel die richtige Platzierung von Kathetern, die der KI-Assistent anhand von Röntgenbildern überprüfen kann. Wenn in der Notaufnahme der Verdacht auf Schlaganfall besteht, soll das System anhand des Bildes automatisch erkennen, ob ein verschlossenes Blutgefäß oder eine Hirnblutung die Ursache ist – die dann jeweils nötige Therapie ist in den beiden Fällen grundlegend unterschiedlich – und, wenn ein Thrombus vorliegt, diesen markieren (Abb. 1). Bei der Untersuchung von Knochenbrüchen nach Unfällen kann die Bildanalyse erkennen, ob überhaupt ein akuter neuer Bruch vorliegt und auch, ob der frische Bruch etwa instabil ist (Abb. 2), so dass die Behandlung potenziell mit besonderer Vorsicht durchgeführt werden muss. Ärztinnen und Ärzte erhalten so eine schnelle fundierte Entscheidungsgrundlage für Notfallbehandlungen. Potenzielle Anwendungsgebiete darüber hinaus sind vielfältig. Vor allem kleinere Kliniken, denen es an entsprechender spezialisierter radiologischer Expertise fehlt, können von der KI-Anwendung profitieren. Eventuell kann sie sogar zu Trainingszwecken eingesetzt werden – nachdem die KI auf der Grundlage von Trainingsdaten gelernt hat, entsprechende Auffälligkeiten zu erkennen und von Experten freigegeben wurde, könnte die KI schließlich bei der Schulung von externem medizinischem Personal unterstützen.
Stand: 08.12.2025
Es ist für uns eine Selbstverständlichkeit, dass wir verantwortungsvoll mit Ihren personenbezogenen Daten umgehen. Sofern wir personenbezogene Daten von Ihnen erheben, verarbeiten wir diese unter Beachtung der geltenden Datenschutzvorschriften. Detaillierte Informationen finden Sie in unserer Datenschutzerklärung.
Einwilligung in die Verwendung von Daten zu Werbezwecken
Ich bin damit einverstanden, dass die Vogel IT-Medien GmbH, Max-Josef-Metzger-Straße 21, 86157 Augsburg, einschließlich aller mit ihr im Sinne der §§ 15 ff. AktG verbundenen Unternehmen (im weiteren: Vogel Communications Group) meine E-Mail-Adresse für die Zusendung von Newslettern und Werbung nutzt. Auflistungen der jeweils zugehörigen Unternehmen können hier abgerufen werden.
Der Newsletterinhalt erstreckt sich dabei auf Produkte und Dienstleistungen aller zuvor genannten Unternehmen, darunter beispielsweise Fachzeitschriften und Fachbücher, Veranstaltungen und Messen sowie veranstaltungsbezogene Produkte und Dienstleistungen, Print- und Digital-Mediaangebote und Services wie weitere (redaktionelle) Newsletter, Gewinnspiele, Lead-Kampagnen, Marktforschung im Online- und Offline-Bereich, fachspezifische Webportale und E-Learning-Angebote. Wenn auch meine persönliche Telefonnummer erhoben wurde, darf diese für die Unterbreitung von Angeboten der vorgenannten Produkte und Dienstleistungen der vorgenannten Unternehmen und Marktforschung genutzt werden.
Meine Einwilligung umfasst zudem die Verarbeitung meiner E-Mail-Adresse und Telefonnummer für den Datenabgleich zu Marketingzwecken mit ausgewählten Werbepartnern wie z.B. LinkedIN, Google und Meta. Hierfür darf die Vogel Communications Group die genannten Daten gehasht an Werbepartner übermitteln, die diese Daten dann nutzen, um feststellen zu können, ob ich ebenfalls Mitglied auf den besagten Werbepartnerportalen bin. Die Vogel Communications Group nutzt diese Funktion zu Zwecken des Retargeting (Upselling, Crossselling und Kundenbindung), der Generierung von sog. Lookalike Audiences zur Neukundengewinnung und als Ausschlussgrundlage für laufende Werbekampagnen. Weitere Informationen kann ich dem Abschnitt „Datenabgleich zu Marketingzwecken“ in der Datenschutzerklärung entnehmen.
Falls ich im Internet auf Portalen der Vogel Communications Group einschließlich deren mit ihr im Sinne der §§ 15 ff. AktG verbundenen Unternehmen geschützte Inhalte abrufe, muss ich mich mit weiteren Daten für den Zugang zu diesen Inhalten registrieren. Im Gegenzug für diesen gebührenlosen Zugang zu redaktionellen Inhalten dürfen meine Daten im Sinne dieser Einwilligung für die hier genannten Zwecke verwendet werden. Dies gilt nicht für den Datenabgleich zu Marketingzwecken.
Recht auf Widerruf
Mir ist bewusst, dass ich diese Einwilligung jederzeit für die Zukunft widerrufen kann. Durch meinen Widerruf wird die Rechtmäßigkeit der aufgrund meiner Einwilligung bis zum Widerruf erfolgten Verarbeitung nicht berührt. Um meinen Widerruf zu erklären, kann ich als eine Möglichkeit das unter https://contact.vogel.de abrufbare Kontaktformular nutzen. Sofern ich einzelne von mir abonnierte Newsletter nicht mehr erhalten möchte, kann ich darüber hinaus auch den am Ende eines Newsletters eingebundenen Abmeldelink anklicken. Weitere Informationen zu meinem Widerrufsrecht und dessen Ausübung sowie zu den Folgen meines Widerrufs finde ich in der Datenschutzerklärung.