KI-basierte Initiative NTT Data und DeepTek helfen bei COVID-19-Diagnostik

Von Martin Hensel

Anbieter zum Thema

Gemeinsam mit seinem indischen Partner DeepTek will NTT Data schneller Klarheit bei der Diagnose von COVID-19 schaffen. Dazu starteten die beiden Unternehmen eine Initiative, die KI-Technologie nutzt.

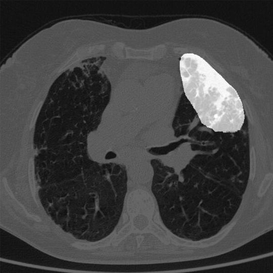
Das System von NTT Data und DeepTek erkennt unter anderem Anomalien in medizinischen Aufnahmen.(Bild:  NTT Data)
Das System von NTT Data und DeepTek erkennt unter anderem Anomalien in medizinischen Aufnahmen.
(Bild: NTT Data)

Das Projekt in der Ruby Hall Clinic, einem großen Allgemeinkrankenhaus im indischen Pune, widmet sich der Erstellung von Befunden anhand von diagnostischer Bildgebung. KI-Technologie hilft im Rahmen einer Proof-of-Concept-Evaluierung bei der Auswertung medizinischer Aufnahmen und soll Ärzte bei der Diagnostik von COVID-19-Erkrankungen unterstützen.

„Unser Ziel ist es, mit Technologie einen Beitrag für eine bessere Gesellschaft zu leisten. Dazu gehört, dass wir auf neue Situationen schnell reagieren und überlegen, wo und wie wir helfen können. Damit handeln wir ganz nach unseren Werten Clients first, Teamwork und Foresight – denn in diesen Zeiten gilt es mehr denn je, gemeinsam leistungsstarke Lösungen zu finden“, erklärt Ralf Malter, Geschäftsführer von NTT Data.

Mangel an Fachpersonal

NTT Data will unter anderem dem weltweiten Mangel an Radiologen begegnen. Speziell im Kontext mit COVID-19 steigt laut dem Unternehmen die Bedeutung bildgebender Verfahren, um mögliche Lungenentzündungen zuverlässig zu diagnostizieren. Das KI-Verfahren von NTT Data vergleicht Aufnahmen mit den Bildern gesunder Personen, zeigt mögliche Anomalien auf und liefert Beschreibungen in Textform.

Für die Zukunft planen NTT Data und DeepTek, den KI-basierten Service in Indien und dem asiatisch-pazifischen Raum anzubieten. Auch eine Markteinführung in Japan wird geprüft. Weitere Pläne umfassen auch die Entwicklung einer flächendeckenden Infrastruktur, um die Kooperation medizinischer Einrichtungen zu verbessern. Dadurch kann zudem die Menge an Trainingsdaten erhöht und die Präzision der KI-Analysen optimiert werden.

(ID:46675538)

Jetzt Newsletter abonnieren

Täglich die wichtigsten Infos zu Big Data, Analytics & AI

Mit Klick auf „Newsletter abonnieren“ erkläre ich mich mit der Verarbeitung und Nutzung meiner Daten gemäß Einwilligungserklärung (bitte aufklappen für Details) einverstanden und akzeptiere die Nutzungsbedingungen. Weitere Informationen finde ich in unserer Datenschutzerklärung. Die Einwilligungserklärung bezieht sich u. a. auf die Zusendung von redaktionellen Newslettern per E-Mail und auf den Datenabgleich zu Marketingzwecken mit ausgewählten Werbepartnern (z. B. LinkedIn, Google, Meta).

Aufklappen für Details zu Ihrer Einwilligung